【病気解説】④ 肺水腫

犬の肺水腫は、肺に液体が溜まって呼吸ができなくなり、最悪の場合命を落とすこともあるとても危険な病気です。特に心臓の病気を抱える犬で起こりやすいものの、心臓に問題がない犬でも発症しえます。
犬の肺水腫の基礎知識

水腫はどのような病気ですか?
犬の肺犬の肺水腫とは、肺の中の肺胞や組織に異常な液体が溜まってしまった状態を指します。肺が空気を取り込めなくなるため身体が酸素不足に陥り、犬は激しい息苦しさを感じます。この状態を放置すると血液中の酸素がさらに不足し、呼吸停止や心停止を起こす危険があるため、緊急性の高い疾患です。適切な治療が遅れると命に関わるため、早期発見と迅速な治療が何より重要です。犬の肺水腫の原因を教えてください犬で肺水腫を起こす主な原因は心臓の疾患です。特に心原性肺水腫と呼ばれるタイプで、左心系の心不全によって肺に水が溜まります。心臓の病気が原因の場合、肺水腫は深刻なうっ血性心不全のサインであり、早急な治療が必要です。

一方、心臓以外が原因の肺水腫もあります。心臓に問題がない場合(非心原性肺水腫)でも、さまざまな要因で肺の血管から水分が漏れ出し肺水腫が引き起こされます。例えば、重度の肺炎など肺の病気、酷暑下での熱中症、アナフィラキシーショック、溺水事故などが原因として挙げられます。これらの状況では肺の毛細血管の透過性が変化し、血液中の液体成分が漏れ出して肺に蓄積してしまいます。その結果、心臓に異常がなくても肺水腫が発生します。

肺水腫にかかりやすい犬種はありますか?
肺水腫自体はあらゆる犬種で起こりえますが、その背景にある疾患から特に注意が必要な犬種が存在します。心原性肺水腫の主な原因である僧帽弁閉鎖不全症は小型犬に多い病気です。そのため、チワワ、トイ・プードル、ポメラニアン、ミニチュア・ダックスフンド、ヨークシャー・テリア、マルチーズなど、僧帽弁閉鎖不全症の好発犬種では肺水腫にも特に注意が必要です。一方、非心原性肺水腫は原因が多岐にわたるためどの犬種でも起こりえます。つまり、犬種に関わらず肺水腫は起こりうるものの、特に小型犬の高齢犬では心臓の病期による肺水腫のリスクが高いため注意が必要です。
犬の肺水腫の前兆や初期症状

犬の肺水腫には前兆がありますか?
肺水腫は急に起こることも多く、はっきりした前兆が見られない場合もあります。しかし心臓の病気がある犬では発症前に安静時の呼吸数が普段より増加する、夜間に咳込むことが増えるといった兆候が現れることがあります。安静時の呼吸数が目安として毎分40回を超えるようなら異常と考えられるため、こうしたサインに気付いたら早めに動物病院で検査を受けることをおすすめします。犬の肺水腫の初期症状を教えてください肺水腫が発症すると、犬は急激に呼吸が苦しくなります。初期段階では犬が落ち着きを失い、伏せていられず頻繁に体勢を変える様子が見られます。また、呼吸が浅く速く(頻呼吸)なり、ゼーゼーと荒い呼吸をします。咳が出ることも多く、湿った咳をすることがあります。さらに、口を大きく開けて舌を出し、ハアハアと開口呼吸(パンティング)をする頻度も増えます。これは犬が少しでも楽に呼吸しようとしているサインです。

初期の肺水腫では、犬は苦しいと首を前に伸ばし肘を張って胸を開く姿勢(起座位)をとります。そのような肩で息をする状態は肺水腫など危険な病気が隠れている可能性があります。犬の肺水腫が進行するとどうなりますか?肺水腫が進行して重度になると、犬の状態はより深刻になります。犬は横になって眠れなくなり、座ったままあるいは立ったままでうとうとと居眠りするようになります。また、舌や歯茎が白っぽい灰色や青紫色(チアノーゼ)に変わり、激しい咳とともにピンク色の泡沫状の液体や血の混じった泡を口鼻から吐き出すことがあります。犬の意識も次第に薄れ、反応が鈍くなっていきます。最終的には心臓の働きも限界に達し、心停止に陥って命を落とす危険性が高くなります。こうなる前に、一刻も早く救命処置を施すことが肝心です。

犬の肺水腫の検査と診断、治療法
どのような症状がみられたら動物病院を受診すべきですか?肺水腫が疑われる症状が見られたら、できるだけ早く動物病院を受診してください。特に、以下の3つはいずれもとても危険な症状です。
・呼吸が異常に速い状態が30分以上続いている
・舌や歯茎の色が青紫色あるいは灰白色になっている
・鼻や口から薄いピンク色の泡状の液体が出ている

これらを確認したら、夜間でもすぐに救急対応可能な動物病院に連絡を取り、指示を仰ぎつつ速やかに受診しましょう。
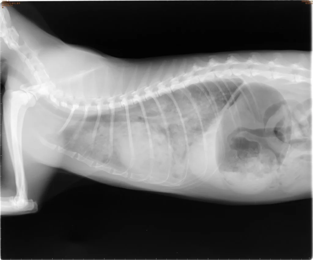
症状がここまで明らかでなくても、「呼吸がおかしい」と感じた時点で早めに動物病院に相談することが大切です。休息時にも呼吸が荒い、少し動いただけで息切れする、咳がなかなか止まらない、ぐったりして横になれない、などの症状が見られたら迷わず受診してください。肺水腫は初期段階では飼い主さんが気付きにくいこともありますが、「いつもと違う」と感じたら早めに診察を受けておくことで、結果的に愛犬の命を守ることにつながります。犬の肺水腫の検査と診断の流れを教えてください動物病院では身体検査に加えて胸部レントゲン検査を行い、肺に水が溜まっていないか確認します。必要に応じて胸部の超音波検査で肺水腫の所見や心臓病の有無を詳しく調べます。また血液検査で全身の炎症や脱水、腎臓の状態などを確認し、安全に治療できるか評価します。犬の肺水腫ではどのような治療が行われますか?治療ではまず酸素投与と利尿剤の投与によって肺水腫を改善します。必要に応じて強心薬や血管拡張薬を用いて心臓の働きと血流を補助します。肺水腫が落ち着いた後は、原因となった心臓の病気に対する治療を続けます。心臓以外が原因の場合も、それぞれの原因に応じた治療と酸素吸入などの治療を行います。肺水腫にかかっている犬のケア方法を教えてください自宅療養中はできるだけ犬を安静にさせ、興奮や激しい運動を避けましょう。退院後も心臓の薬や利尿剤を指示どおりに与えてください。毎日、安静時の呼吸数を測る習慣をつけ、普段より呼吸が速くなるなど異常があればすぐ主治医に相談しましょう。また肥満にならないよう体重管理に気を配り、塩分を控えるなど心臓に負担をかけない生活を心がけることも大切です。